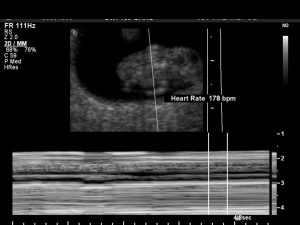
178 beats per minute. 178 tiny reassurances that the human your body is growing is healthy and viable.
The swoosh beating sound filled the tiny, but comfortable, ultrasound room and I breathed a sigh of relief. Just one baby with one strong heartbeat. The two confirmations I was looking for that day.
But as I watched the tiny heart fluttering on the screen, I felt the relief slip into sadness. Just this week, two women I’d just met via social media had been in a similar room and watched as their dreams and hearts broke. One had just learned she was expecting twins and the other had gotten pregnant just after marrying her soul mate. Both filled with the typical excitement and fear as their bodies began showing the symptoms they’d read about. Both clinging to hope. But when their time came, their ears weren’t filled with the sweet swoosh beating sounds. The screen didn’t flicker with the heartbeat. Three tiny balls of cells that just the day before had been filled with the promise of life and happiness were now gone and these mothers were robbed of the very thing that had just weeks before been confirmed. In those few short weeks, they had each grown to love the little raspberries or sweet peas growing in their bellies. They thought of names and wondered if they’d have mom’s eyes or dad’s nose. They laid awake at night wondering what kind of mother they would be. Now, their dreams would have to wait.
I thought of another friend. One who’s been trying for years just to get that pink line and a confirmation that she’d finally get to be a mother. She’d just completed her first unsuccessful round of fertility treatment and was about to start her second. Though miles and years separate us, I keep waiting for the day her announcement takes over my news feed and we can celebrate her impending motherhood, the dream she holds so closely and yet seems so far away. I thought of her as I watched the life we’d barely struggled to create flickering away. Why had it been so easy for me? She deserved to love a child just as much as I did and I know without a doubt that she will be an amazing mother.
Another face flashed as I blinked and stared numbly at the screen. Her face now filled with joy as she is expecting another baby girl, her third but her first with her new husband. She’d been pregnant at the same time I was with my first, but lost that baby a few weeks later. Another pregnancy, a boy, progressed much further a few months later. Sadly, he made his entrance too soon and did not make it. Now, the joy of a third chance and a third daughter filled me with hope that her and her husband would finally experience the joy she’d been longing for and so rightfully deserves. I don’t know the heartache of carrying and then losing a child, but it is a pain no mother or father should ever feel. I doubt the ache ever fully goes away, even after a rainbow is born.
Happiness is often a moving target and even in those moments when joy should overcome me, I find myself longing for the happiness of others. I so desperately want these women to see their own flickering hearts and to hear that comforting sound. Selfishly, I’ve also spent many nights thankful to not be in their shoes and to not know the pain and emptiness of the loss of a child. But, my heart aches for them and if I could, I’d carry a child for all of them.
These women represent so many that I know and many of them I only know because of social media, through mom groups or fitness groups. But, our lives are all connected in a way that I can’t explain and I often find myself thinking of them and wishing I could do more than feel pain at their loss or mourn their babies as I watch mine growing.
Like almost every other pregnant woman I know, those first 12 weeks are a daily game of walking on eggshells. You obsesses over every tiny symptom. You examine the toilet paper at every single bathroom trip, terrified of seeing the bright red blood of doom. Every single day that passes is a victory – one day closer to a healthy pregnancy and a baby in your arms. You Google everything and then regret it the moment the results of your search appear on the screen. You consult the experts in your mom groups and you eagerly await that first ultrasound that will either confirm your fears or your dreams.
I am lucky. Our time spent trying for both our first and now our second was less than six months and I am fairly certain my Starbucks obsession slowed both (caffeine, I love and loathe you). My pregnancy with my son was fairly uneventful aside from my water breaking 4 weeks early. His delivery went well and he was tiny but mighty. My second pregnancy, though only nine weeks in as I write this, appears to be following a similar path (let’s hope for a full-term this round). My symptoms are mild with only a hint of nausea and I’ve been able to manage them all well.
When the fear of loss and the sadness of others’ losses begins to consume me, I close my eyes and try to picture my son’s face or hear the sound of the brand new heartbeat again. I am grateful I have those images to ground me and I don’t take them for granted. When in the thick of being pregnant and chasing a toddler who refuses to nap begin to overwhelm me, it is easy to fall into self pity, but I try my best not to. I know how incredibly lucky and blessed I am to have these things to complain about. So many would kill to feel the exhaustion of pregnancy or the inability to wear pants due to a growing belly. They would lose a thousand night’s sleep just to cradle and rock a screaming newborn to sleep.
